Altamash Dental Clinic
Trusted by Families for Generations
Since 1980 | Over 4 Decades of Dental Excellence
Since 1980, a Legacy of Trust and Dental Excellence
At Altamash Dental Clinic, we’ve never just treated teeth — we’ve nurtured lifelong relationships built on care, compassion, and trust. What began over four decades ago as a single vision to offer ethical, high-quality care has grown into one of the most recognized dental institutions in Pakistan, trusted by families both locally and around the world.
For over 4 decades, we’ve had the privilege of caring for multiple generations within the same families — watching children grow, return as adults, and bring in their own children. That continuity of care, built over time and trust, is what truly defines our practice. To me and my team, there’s no greater honor than being part of that journey.
Our team of highly qualified specialists brings together diverse expertise across every field of dentistry — from orthodontics and implantology to cosmetic and pediatric care — all under one roof. Whether you’re here for a routine check-up, smile enhancement, or a complex full-mouth rehabilitation, your treatment is always tailored, compassionate, and backed by decades of clinical experience.
We pair this human connection with cutting-edge technology. From digital scanners and 3D imaging to microscopic and laser-assisted procedures, our clinic is equipped with some of the most advanced dental innovations available today. This allows us to provide care that is not only precise and effective but also minimally invasive and comfortable.
We also recognize that dental visits — especially for those traveling from abroad — come with expectations of safety, efficiency, and reliability. Over the years, we’ve proudly welcomed patients from North America, the UK, the Middle East, and beyond, who choose us for our combination of clinical excellence, personalized attention, and affordability. Our team supports each step of the journey, coordinating treatment schedules and ensuring a seamless, stress-free experience.
We’ve designed our clinic to be a place where patients feel at ease- heard, respected, and cared for as individuals. We know that trust is earned, and we work every day to honor that trust by holding ourselves to the highest standards of dental care. That’s why we’ve created an environment rooted in empathy, where every patient is treated like family.
As we move forward with dental excellence, our promise remains the same:
To serve with compassion. To treat every patient like family. And to never compromise on the principles that built this legacy.
Thank you for being part of our story — and for trusting us with your smiles, generation after generation, from near and far.
— Prof. Dr. Mohammad Altamash

Where Technology Meets Dentistry

Biodent Microscope

In house OPG, Lateral Cephalometry and CBCT

Biodent Microscope

Latest scanning technology

Root Canals Under Microscope

State Of The Art Surgeries

Treatment Planning On CBCT

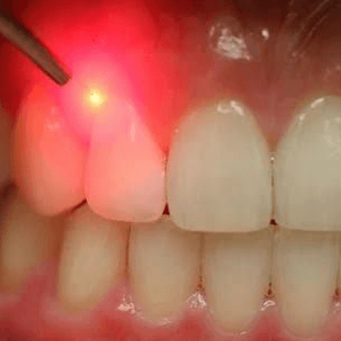
Sirona Laser technology
Our Services
Titanium dental implants are a safe, reliable treatment choice to replace missing teeth.
Only the missing tooth is treated. The adjacent teeth are not touched.
The success rate of a dental implant is incredibly high. It is placed under local anaesthesia by our implant surgeons, and is then allowed to heal and integrate with the bone.
Smile designing, also known as Aesthetic Dental Treatment in Pakistan, is truly a work of art. The term applies to the enhancement of a smile using a combination of methods, taking into consideration the eyes, lips, gums, and face of the individual. A sparkling, confident smile can give a wonderful boost to your social and professional life..
Orthodontics is the branch of dentistry that specializes in the movement of teeth using braces and removable appliances to make the corrections involving straightening of the teeth and improving the bite. Orthodontics can provide a healthy attractive smile for many years.
At Altamash Dental Clinic, we’ve never just treated teeth — we’ve nurtured lifelong relationships built on care, compassion, and trust. What began over four decades ago as a single vision to offer ethical, high-quality care has grown into one of the most recognized dental institutions in Pakistan, trusted by families both locally and around the world.
A crown is an artificial restoration that fits over a prepared tooth’s remaining portion, making it strong and offering it a natural tooth shape. Sometimes a crown is known as a’ cap.’
Tooth loss has a great impact on personal appearance and dental health.
When one or more teeth are missing the remaining teeth can drift out of position, which can lead to a change in the bite, decay, gum disease and even the loss of an additional tooth. Missing teeth can be replaced by a bridge, which consists of one or more replacement teeth anchored by crowns on either side.
Root canal treatment is often an easy operation to relieve dental pain and save your teeth. Patients typically need a root canal when the roots of a tooth are inflamed or infected. An endodontist specializing in such treatment carefully removes the pulp inside the tooth during root canal treatment, cleans, disinfects and shapes the root canals, and places a filling to seal the space.
At Altamash Dental Clinic, we’ve never just treated teeth — we’ve nurtured lifelong relationships built on care, compassion, and trust. What began over four decades ago as a single vision to offer ethical, high-quality care has grown into one of the most recognized dental institutions in Pakistan, trusted by families both locally and around the world.
At Altamash Dental Clinic, we’ve never just treated teeth — we’ve nurtured lifelong relationships built on care, compassion, and trust. What began over four decades ago as a single vision to offer ethical, high-quality care has grown into one of the most recognized dental institutions in Pakistan, trusted by families both locally and around the world.
Daily Teeth Care
Client’s Review
I was nervous about visiting a dentist after years, but the team at Altamash made me feel completely at ease. They were gentle, thorough, and incredibly professional. I finally love my smile again!
I was nervous about visiting a dentist after years, but the team at Altamash made me feel completely at ease. They were gentle, thorough, and incredibly professional. I finally love my smile again!


















